Novel AI Model Identifies Stroke Timing Twice as Accurately as Contemporary Method

Novel AI Model Identifies Stroke Timing Twice as Accurately as Contemporary Method

A new study published by researchers primarily from the Imperial College of London demonstrated that an AI model they developed is capable of identifying the time of stroke twice as accurately as contemporary methods. The model calculates the chronometric age, the precise age of a specimen determined through scientific techniques, of brain lesions caused by stroke from non-contrast CT (NCCT) scans.

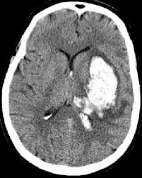
Brain Scan

Brain scan: Black = ischemic stroke, white = hemorrhagic stroke. Source

Chronometric age of the brain lesion is a critical parameter clinicians use to assess the types of interventions a patient may benefit from receiving. The best contemporary method for treating acute stroke, administering tissue plasminogen activator (tPA) to break blood clots in the brain, is only effective within the first 4.5 hours post-stroke. Similarly, surgical interventions have been shown to be more effective in the first 6 hours post-stroke compared to 6-24 hours post stroke.

The model is a Convolutional Neural Network (CNN), a type of deep learning model designed to process and analyze grid-like data (such as images) using layers of convolutional filters to detect spatial patterns & features. It combines CNN functionality with radiomics, a technique often used in medical imaging where algorithms are applied to images to extract spatial features of tissue & lesions. The combination of CNN & radiomics has demonstrated improved performance over CNN and radiomics individually in other medical imaging applications, such as characterizing glioblastoma features in MRI scans.

The CNN-radiomics model was trained on a dataset of 783 NCCT brain scans from patients who had a known time of symptom onset & identifiable brain lesions in the scans in order to determine the chronometric age. Another multi-class CNN was trained to automatically segment the legions from NCCT scans & provide them as input to the chronometric age CNN-radiomics model.

Dr. Paul Bentley, who led this research study, spoke to the potential benefits of these models: “Having this information at their fingertips will help doctors to make emergency decisions about what treatments should be undertaken in stroke patients. Not only is our software twice as accurate at time-reading as current best practice, but it can be fully automated once a stroke becomes visible on a scan.” The lead author, Dr. Adam Marcus, estimates “up to 50% more stroke patients could be treated appropriately with treatments because of our method.”

This study is yet another example of the boom AI may prove to be as a tool to improve the quality of healthcare for patients.

Novel AI Model Identifies Stroke Timing Twice as Accurately as Contemporary Method

Picture of Cooper Molloy

Cooper Molloy

Lead Quality/Regulatory Engineer

Share this post:

Subscribe to The Neuro Science Monitor

Your monthly survey of the fast-moving field of neurocritical care.

More to explore: